
ទារកប្រើថ្នាំបន្សាបក្នុងរយៈពេលយូរ ទារកនឹងប្រឈមនឹងការខាំចំហរ ធ្មេញ... - រូបភាពរូបភាព
Pacifiers គឺជាវត្ថុដ៏ពេញនិយមមួយក្នុងការថែរក្សាទារក និងកុមារតូចៗតាំងពីយូរយារណាស់មកហើយ។ ឪពុកម្តាយជាច្រើនចាត់ទុកពួកគេថាជា "អ្នកសង្គ្រោះ" ដើម្បីជួយកុមារឱ្យឈប់យំ គេងបានស្រួល និងផ្តល់ពេលឱ្យឪពុកម្តាយបានសម្រាក និងធ្វើការកាន់តែច្រើន។
តាមពិតទៅ ទម្លាប់បៀមបឺតមាត់គឺជារឿងធម្មតា ដែលជាបាតុភូតធម្មជាតិចំពោះកុមារតូចៗ។ ទោះជាយ៉ាងណាក៏ដោយ អ្វីដែលឪពុកម្តាយជាច្រើនមិនយល់ច្បាស់នោះគឺថា ទម្លាប់ដែលហាក់ដូចជាគ្មានគ្រោះថ្នាក់នេះអាចជះឥទ្ធិពលយូរអង្វែងដល់ការលូតលាស់នៃថ្គាម ធ្មេញ និងមុខរបស់កុមារ។
យោងតាមស្ថិតិអន្តរជាតិរហូតដល់ 63% នៃកុមារដែលមានអាយុពី 0 ដល់ 6 ឆ្នាំបានប្រើ pacifiers ។ ភាគច្រើននៃពួកគេឈប់នៅអាយុ 2-4 ឆ្នាំ ប៉ុន្តែសមាមាត្រដ៏សំខាន់បន្តទៅដំណាក់កាលនៃធ្មេញអចិន្ត្រៃយ៍។ ពីទីនេះ ធ្មេញ ភាសា ត្រចៀក ច្រមុះ និងបំពង់ក និងបញ្ហាផ្លូវចិត្តចាប់ផ្តើមលេចឡើង។
ហានិភ័យពីទម្លាប់ទូទៅ
ឥរិយាបថបៀមមេដៃ ឬបឺតមាត់កើតឡើងចំពោះកុមារភាគច្រើន។ នៅដើមសប្តាហ៍ទី 15 ដល់ទី 20 នៃការមានផ្ទៃពោះ ទារកជាច្រើនត្រូវបានគេសង្កេតឃើញបឺតមេដៃលើរូបភាពអ៊ុលត្រាសោន។ ក្រោយពេលកើត ទារកនៅតែបន្តរក្សាការឆ្លុះនេះ ជាសភាវគតិការពារខ្លួន និងបន្ធូរអារម្មណ៍ខ្លួនឯង។
ការសិក្សាជាច្រើនបង្ហាញថាប្រហែល 63% នៃកុមារដែលមានអាយុពី 0 ទៅ 6 ឆ្នាំបានប្រើឧបករណ៍បំពងកយ៉ាងហោចណាស់ម្តង។ អត្រាខ្ពស់បំផុតធ្លាក់នៅអាយុ 0-2 ឆ្នាំ បន្ទាប់មកថយចុះបន្តិចម្តងៗ ប៉ុន្តែនៅតែមានចំពោះកុមារមួយចំនួនដែលមានវ័យចំណាស់។
ជាធម្មតា កុមារនឹងបោះបង់ទម្លាប់នេះនៅអាយុ 4 ឆ្នាំ។ ប្រសិនបើទម្លាប់នេះនៅតែបន្តនៅពេលដែលធ្មេញអចិន្រ្តៃយ៍ចាប់ផ្តើមលូតលាស់ (ប្រហែលអាយុ 6 ឆ្នាំ) ហានិភ័យនៃការខូចទ្រង់ទ្រាយនៃថ្គាម និងការខូចទ្រង់ទ្រាយនៃថ្គាមនឹងកើនឡើងយ៉ាងខ្លាំង។
ហេតុអ្វីបានជាទារកចូលចិត្តបឺតមាត់?
តម្រូវការសុវត្ថិភាព និងការលួងលោម៖ កុមារតូចៗប្រើកណ្តាប់ដៃ ឬស្រូបមេដៃជាមធ្យោបាយលួងលោមខ្លួនឯង ជាពិសេសនៅពេលបែកពីឪពុកម្តាយ ប្រឈមមុខនឹងមនុស្សចម្លែក ឬបរិយាកាសថ្មី។ ឥរិយាបថនេះជួយកុមារកាត់បន្ថយភាពតានតឹង និងគេងលក់ស្រួល។
អត្ថប្រយោជន៍ផ្នែកវេជ្ជសាស្រ្តក្នុងស្ថានភាពមួយចំនួន
• បង្កើនកម្រិតនៃការឈឺចាប់៖ ប៉ាស៊ីហ្វ័រជួយកាត់បន្ថយភាពមិនស្រួលកំឡុងពេលនីតិវិធីវេជ្ជសាស្រ្តតិចតួច។
• ជំនួយដំណេក៖ ចំពោះកុមារអាយុ 1-4 ឆ្នាំ ការបឺតជញ្ជក់ក្បាលពោះជួយកាត់បន្ថយចង្វាក់បេះដូងពេលកំពុងគេង ដែលអនុញ្ញាតឱ្យគេងលក់កាន់តែជ្រៅ។
• ការឡើងទម្ងន់ចំពោះទារកមិនគ្រប់ខែ៖ នៅពេលដែលរួមផ្សំជាមួយនឹង តន្ត្រី កន្សោមរំញោចទារកមិនគ្រប់ខែឱ្យបឺត បង្កើនប្រសិទ្ធភាពនៃការស្រូបយកសារធាតុចិញ្ចឹម។
• កាត់បន្ថយហានិភ័យនៃរោគសញ្ញានៃការស្លាប់របស់ទារកភ្លាមៗ៖ ការស្រាវជ្រាវបង្ហាញថា កន្សោមអំឡុងពេលគេងជួយផ្លាស់ប្តូរទីតាំងនៃអណ្តាត បង្កើនសម្លេងនៃសាច់ដុំផ្លូវដង្ហើម និងជំរុញការដកដង្ហើម ដោយកាត់បន្ថយហានិភ័យនៃរោគសញ្ញានេះ។ ទោះបីជាយ៉ាងណាក៏ដោយ ដោយសារតែផលប៉ះពាល់ដែលអាចកើតមានរបស់វា ពួកគេណែនាំវាសម្រាប់តែកុមារអាយុក្រោម 1 ឆ្នាំប៉ុណ្ណោះ។

ករណីកុមារដែលមានធ្មេញខាងមុខដែលលេចចេញ ទាក់ទងនឹងជំងឺប៉េស - រូបថត៖ BSCC
ផលវិបាកដែលមិនអាចទាយទុកជាមុនបាន។
អត្ថប្រយោជន៍ខាងលើគឺមានប្រសិទ្ធភាពតែនៅពេលកូននៅក្មេង ហើយប្រើក្នុងរយៈពេលខ្លី។ នៅពេលដែលទំលាប់មានរយៈពេលយូរនោះ pacifiers នឹងនាំមកនូវផលវិបាកដែលមិនអាចទាយទុកជាមុនបានជាច្រើនដល់ការអភិវឌ្ឍន៍ maxillofacial និងផ្លូវចិត្តរបស់កុមារ។
ធ្មេញ និងថ្គាមមិនត្រឹមត្រូវ
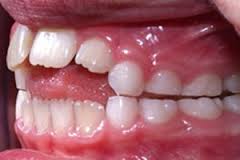
- ខាំចំហ៖ ធ្មេញខាងមុខខាងលើ និងខាងក្រោមមិនប៉ះគ្នានៅពេលខាំ។
- ធ្មេញខាងមុខដែលដុះចេញ៖ ធ្មេញខាងមុខខាងលើលាតទៅមុខ ធ្មេញខាងមុខខាងក្រោមធ្លាក់ចុះ។
– ថ្គាមតូចចង្អៀត ខាំឆ្លង៖ ប្រដាប់ភេទធ្វើឲ្យថ្គាមខាងលើរួមតូច ហើយធ្មេញឆ្កែមិនតម្រឹម។
- malocclusion ជាអចិន្ត្រៃយ៍: ប្រសិនបើវានៅតែបន្តកើតមានបន្ទាប់ពីអាយុ 4 ឆ្នាំ ភាពខុសប្រក្រតីទាំងនេះអាចមានរយៈពេលពេញមួយជីវិត ដែលទាមទារការព្យាបាលធ្មេញដ៏ស្មុគស្មាញ។
ធ្មេញពុក៖ ការប្រើប្រាស់ថ្នាំបន្សាបជាប្រចាំរយៈពេល 18 ខែ គឺជាកត្តាហានិភ័យខ្ពស់នៃការពុកធ្មេញ ដែលអាចមានកម្រិតខ្ពស់ជាងក្រុមដែលមិនប្រើថ្នាំបន្សាបពីរដង។
ការនិយាយយឺត និងការអភិវឌ្ឍន៍ភាសាមានកម្រិត៖ កុមារដែលប្រើឧបករណ៍បំពងករយៈពេលយូរ ទំនងជាមានការនិយាយយឺត 3 ដង។ Pacifiers បំពេញមាត់ កំណត់សមត្ថភាពក្នុងការនិយាយ និងត្រាប់តាមសំឡេង។ អ្នកជំនាញជាច្រើនជឿថាឪពុកម្តាយ "ទិញភាពស្ងៀមស្ងាត់" ក្នុងតម្លៃនៃការអភិវឌ្ឍន៍ភាសារបស់កុមារ។
ហានិភ័យនៃជំងឺប្រព័ន្ធផ្សព្វផ្សាយ otitis ៖ មានការសិក្សាដែលបង្ហាញថាការប្រើ pacifier ចំពោះកុមារអាយុក្រោម 4 ឆ្នាំបង្កើនហានិភ័យទ្វេដងនៃ otitis media កើតឡើងវិញ។ មូលហេតុគឺបាក់តេរីងាយឆ្លងពីច្រមុះទៅត្រចៀកកណ្តាល។
ឥទ្ធិពលផ្លូវចិត្ត និងអារម្មណ៍៖ ក្មេងប្រុសដែលប្រើឧបករណ៍បំពងកជាញឹកញាប់មានសមត្ថភាពអន់ជាងក្នុងការធ្វើត្រាប់តាមការបញ្ចេញទឹកមុខ និងការថយចុះពិន្ទុបញ្ញាអារម្មណ៍ដូចមនុស្សពេញវ័យ។ បាតុភូតនេះត្រូវបានប្រៀបធៀបទៅនឹងការចាក់ Botox ដែលធ្វើឱ្យសាច់ដុំមុខស្ពឹក កាត់បន្ថយការបញ្ចេញមតិ។ ក្មេងស្រីទទួលរងផលប៉ះពាល់តិចជាង ដែលអាចមកពីភាពបត់បែនក្នុងការអភិវឌ្ឍផ្លូវចិត្ត។
ការញៀនថ្នាំស្ពឹក៖ កុមារអាចក្លាយជាមនុស្សពឹងផ្អែក និងមិនអាចគេងលក់ដោយគ្មានថ្នាំបញ្ចុះលាមក។ ពេលឪពុកម្តាយដកខ្លួន កូនយំយ៉ាងហឹង្សា បង្កឱ្យមានភាពតានតឹងផ្លូវចិត្តដល់គ្រួសារទាំងមូល ។
ឥទ្ធិពលលើការបំបៅកូនដោយទឹកដោះម្តាយ៖ ទារកអាចមាន "ការច្របូកច្របល់ក្បាលសុដន់"៖ អណ្តាតរបស់ពួកគេស្ថិតក្នុងទីតាំងខុស ពួកគេមិនព្រមបៅដោះទេ។ ការបំបៅកូនដោយទឹកដោះម្តាយតិចជាញឹកញាប់ធ្វើឱ្យម្តាយផលិតទឹកដោះតិច ហើយទារកខ្វះសារធាតុចិញ្ចឹមដ៏មានតម្លៃ។
- លើសពីនេះ វាអាចមានហានិភ័យ៖ កុមារថប់ ឬថប់ដង្ហើមពេលបន្ទុះធ្លាក់។ អាឡែស៊ីទៅនឹងផ្លាស្ទិចដែលប្រើដើម្បីធ្វើឱ្យ pacifier; ការឆ្លងប្រសិនបើអនាម័យមិនល្អ។
តើធ្វើដូចម្តេចដើម្បីជួយកុមារបំបែកទម្លាប់?
ដើម្បីបំបាត់ទម្លាប់ស្រូបបឺតមាត់ មានវិធីផ្សេងៗជាច្រើនក្នុងការធ្វើ៖ (១) រំខានភ្លាមៗ។ (២) ឪពុកម្តាយពន្យល់កូនអំពីផលវិបាកមិនល្អនៃទម្លាប់ មិត្តអាចសើចចំអក។ (3) លាបសារធាតុមិនល្អទៅកន្លែងភ្ញាស់។ (4) ទន្តបណ្ឌិតនឹងណែនាំកុមារឱ្យឈប់ដោយពន្យល់ និងសុំឱ្យឪពុកម្តាយព្យួរប្រាក់លើកទឹកចិត្តកុមារ។
លើសពីនេះ ពេលនេះមានថ្នាំបន្សាបមាត់ធ្មេញ ដែលត្រូវបានរចនាឡើងដើម្បីកំណត់ផលប៉ះពាល់អវិជ្ជមានលើឆ្អឹងថ្គាម។ ទោះជាយ៉ាងណាក៏ដោយ នេះគ្រាន់តែជាដំណោះស្រាយបណ្តោះអាសន្នប៉ុណ្ណោះ មិនមែនជាការជំនួសការដកប្រាក់ទាន់ពេលវេលានោះទេ។
ដំបូន្មានជាក់ស្តែងសម្រាប់ឪពុកម្តាយ៖
• លេបថ្នាំបំបាត់ការឈឺចាប់មុនអាយុ 3-4 ឆ្នាំ។
• រក្សាការបំបៅកូនដោយទឹកដោះម្តាយផ្តាច់មុខសម្រាប់រយៈពេល 6 ខែដំបូង រួមជាមួយនឹងការបំបៅកូនដោយទឹកដោះម្តាយរហូតដល់អាយុ 2 ឆ្នាំ។
• Wean យឺតៗ៖ កាត់បន្ថយពេលវេលាប្រើប្រាស់នៅពេលថ្ងៃ ទុកតែពេលងងុយគេង បន្ទាប់មកលុបវាចោលទាំងស្រុង។
• ផ្តល់រង្វាន់ និងលើកទឹកចិត្តកូនរបស់អ្នកឱ្យមានមោទនៈភាពក្នុងការលះបង់ការញុះញង់។
• នាំកូនរបស់អ្នកទៅពិនិត្យសុខភាពមាត់ធ្មេញជាទៀងទាត់ ដើម្បីរកឱ្យឃើញ malocclusion ទាន់ពេលវេលា។
មិនមានការបដិសេធទេថាក្នុងករណីជាច្រើន ប៉ាស៊ីហ្វ័រគឺជា "ឧបករណ៍ដ៏មានប្រយោជន៍" ដើម្បីជួយទារកឱ្យស្ងប់ បំបាត់ការឈឺចាប់ ធ្វើអោយការគេងលក់ស្រួល និងជួយទារកមិនគ្រប់ខែ។ ប៉ុន្តែការពិតគឺថាអត្ថប្រយោជន៍មានត្រឹមតែរយៈពេលខ្លី និងស្ថិតក្រោមលក្ខខណ្ឌត្រឹមត្រូវ។ នៅពេលដែលឪពុកម្តាយបំពាន ឬពន្យាពេលការផ្តាច់ដោះ ប៉ាស៊ីហ្វ័រនឹងប្រែក្លាយពី "មិត្ត" ទៅជា "ពិរុទ្ធជន" ដែលបណ្តាលឱ្យមានផលវិបាករយៈពេលវែងជាច្រើនសម្រាប់សុខភាព និងសោភ័ណភាពរបស់កុមារ។
សារសំខាន់បំផុតគឺ៖
• ប្រើនៅពេលត្រឹមត្រូវ (កុមារអាយុក្រោម 1 ឆ្នាំ ក្រោយពេលបំបៅដោះបានល្អ)។
• ប្រើប្រាស់ឱ្យបានត្រឹមត្រូវ (ស្អាត សុវត្ថិភាព គ្មានខ្សែគ្រោះថ្នាក់)។
• Wean នៅពេលត្រឹមត្រូវ (មុនអាយុ 3-4 ឆ្នាំ) ។
ប្រភព៖ https://tuoitre.vn/thoi-quen-mut-num-vu-gia-va-nhung-he-luy-den-rang-mieng-ngon-ngu-tai-mui-hong-cua-tre-20251001114946802.htm






Kommentar (0)