
ក្រអូមមាត់អាចវិវត្តទៅជារាងអក្សរ V នៅក្នុងទារកដែលបំបៅដោយដប - រូបថតរូបភាព
ការលូតលាស់ Craniofacial គឺ 90% ពេញលេញនៅអាយុ 12 ឆ្នាំ ជាមួយនឹងការលូតលាស់អតិបរមាកើតឡើងក្នុងរយៈពេល 4 ឆ្នាំដំបូង។ ក្នុងអំឡុងពេលបំបៅកូនដោយទឹកដោះ អណ្តាតរុញជាលិកាសុដន់ទន់ទល់នឹងក្រអូមមាត់ដោយថ្នមៗ និងសំពាធជាលំដាប់ ដែលបណ្តាលឱ្យមានការផ្លាស់ប្តូរឯកសណ្ឋានបន្តិចម្តងៗនៅក្នុងក្រអូមមាត់ ដែលជួយសម្រួលដល់ការលូតលាស់ធម្មតានៃអញ្ចាញធ្មេញ និងការផ្ទុះធ្មេញជាបន្តបន្ទាប់។
ក្រអូមមាត់មានភាពបត់បែនខ្លាំង វត្ថុទាំងអស់ដែលមកទល់នឹងវាជាប្រចាំនឹងធ្វើឱ្យវាអភិវឌ្ឍដោយឯកឯង។
នៅពេលបំបៅកូនដោយទឹកដោះម្តាយ មាត់របស់ទារកត្រូវបានបង្ហាប់ដោយសុដន់ជុំវិញ ដែលបណ្តាលឱ្យធ្មេញដុះជារាងអក្សរ U ។ ខណៈពេលកំពុងបំបៅកូនដប ក្បាលសុដន់របស់ដបមានភាពរឹង និងតូចជាងសុដន់ម្តាយ ដែលបណ្តាលឱ្យក្រអូមមាត់វិវត្តទៅជារាងអក្សរ V ជំនួសឱ្យរាង U ធម្មតា។ ការខូចទ្រង់ទ្រាយនេះការពារការផ្ទុះធ្មេញត្រឹមត្រូវ និងបណ្តាលឱ្យខូចទ្រង់ទ្រាយនៃខាំ។
ចំពោះទារកដែលបៅដប ភាពខុសប្លែកគ្នានោះគឺថាមិនមានទឹកដោះចេញពីក្រពេញទឹកដោះទេ ប៉ុន្តែទារកត្រូវបញ្ចេញកម្លាំងនៅលើចុងកៅស៊ូជាមួយនឹងអណ្តាតដែលនៅទល់នឹងអញ្ចាញធ្មេញខាងលើ។ ចលនាទៅមុខ និងថយក្រោយនៃអណ្តាតនឹងរុញទឹកដោះគោតាម និងចេញពីចុងសុដន់។
ការបំបៅដោយដបមិនជួយបបូរមាត់ឱ្យជិត មិនសម្រួលដល់ការដកដង្ហើមតាមច្រមុះ មិនជួយឱ្យអណ្តាត និងថ្គាមក្រោមផ្លាស់ទីទៅមុខ និងមានកម្រិតនៃការលូតលាស់នៃសាច់ដុំដូចជាសាច់ដុំអណ្តាត សាច់ដុំថ្គាមក្រោម និងសាច់ដុំបបូរមាត់ទាប orbicularis oculi ។
នៅពេលបំបៅកូនដោយដប ទារកគ្រាន់តែដាក់ថ្គាមទាបទៅមុខតិចបំផុត ព្រោះជាធម្មតា pacifier មានរាងសាជីជាងក្បាលសុដន់របស់ម្តាយ បាតនៃមាត់ស្បូនមិនបិទតឹងទេ ដោយសារសាច់ដុំទំពារមិនសូវសកម្ម អណ្តាតនឹងបង្រួម pacifier ហើយសម្រាកនៅលើក្រអូមមាត់ដោយមានចលនាបង្ហាប់ដូច piston កម្លាំងនេះតែងតែធ្វើចលនាដដែលៗ និងធ្វើចលនាដដែលៗ។ ក្រអូមមាត់កាន់តែជ្រៅ កាត់បន្ថយបរិមាណនៃប្រហោងច្រមុះ។
ក្នុងពេលជាមួយគ្នានោះ សាច់ដុំថ្ពាល់បង្កើតកម្លាំងធំ ដើម្បីបង្កើនសម្ពាធក្នុងមាត់ ផ្លាស់ប្តូរ alveolar crest ទឹកដោះហូរជាបន្តបន្ទាប់ ដោយសារប្រហោងមាត់មិនបិទ បង្កើតលក្ខខណ្ឌអំណោយផលសម្រាប់ការដកដង្ហើមតាមមាត់ ឬងាយបង្កជារោគសញ្ញានៃការគេងមិនដកដង្ហើម។
តើការបំបៅដោយដបប៉ះពាល់ដល់ការអភិវឌ្ឍធ្មេញដែរឬទេ?
ផលវិបាកនៅលើខាំ
អ្វីក៏ដោយដែលចូលទៅក្នុងមាត់របស់ទារកដែលបំបៅនឹងប៉ះពាល់ដល់ការវិវត្តនៃរចនាសម្ព័ន្ធ craniofacial ។ វិសាលភាពនៃផលប៉ះពាល់នេះអាស្រ័យលើពេលវេលា ប្រេកង់ និងរយៈពេលនៃការណែនាំនីមួយៗ។ ជាលិកាសុដន់ទន់ងាយសម្របខ្លួនទៅនឹងមាត់របស់ទារក វត្ថុរឹងនឹងបង្កើតការសម្របតាមមាត់។
ការសិក្សាជាច្រើនបង្ហាញថា ការបំបៅកូនដោយដបមិនត្រឹមតែបណ្តាលឱ្យពុកធ្មេញប៉ុណ្ណោះទេ ថែមទាំងបណ្តាលឱ្យមាន malocclusion ច្រើនជាងការបំបៅកូនដោយទឹកដោះម្តាយ។ បញ្ហា malocclusion ទូទៅបំផុតគឺការខាំចំហរខាងមុខ និងខាំឆ្លងកាត់ក្រោយ។

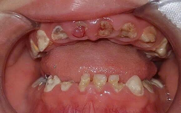
កុមារអាយុ៣ឆ្នាំ មានទម្លាប់ផឹកស្រាពីដបនៅពេលយប់ មានប្រហោងជាច្រើន និងជាលិកាធ្មេញធ្ងន់ធ្ងរ - រូបថត៖ BSCC
ការបំបៅកូនដោយទឹកដោះម្តាយមិនអាចការពារការកើតឡើងនៃ malocclusion ថ្នាក់ II និងការតំរែតំរង់ mandibular បានទេ។ ទោះជាយ៉ាងណាក៏ដោយ ការប្រើប្រាស់ដប និងថ្នាំបញ្ចុះលាមកមានហានិភ័យខ្ពស់នៃការ malocclusion ជាពិសេសក្នុងករណីដែលការបំបៅដបត្រូវបានបន្តបន្ទាប់ពីអាយុ 24 ខែ។
ក្នុងករណីមានការខូចទ្រង់ទ្រាយនៃក្រអូមមាត់ ដូចជាក្រអូមមាត់ជ្រៅ ដោយសារការចល័តអណ្តាតមិនល្អ ផ្លូវដង្ហើមដែលមានកំហិតជួយសម្រួលដល់ការដកដង្ហើមតាមមាត់ និងការគេងមិនដកដង្ហើម។
លើសពីនេះទៀតទីតាំងទាបនៃអណ្តាតក៏ដូចជា malocclusion អាចនាំឱ្យមានបញ្ហានៃការបញ្ចេញសំឡេង។
ផលវិបាកលើមុខងារនៃសាច់ដុំ masticatory
ការសិក្សាបានបង្ហាញពីភាពខុសប្លែកគ្នាយ៉ាងច្បាស់ក្នុងការវិវត្តនៃសាច់ដុំថ្ពាល់ចំពោះទារកដែលបំបៅដោយទឹកដោះម្តាយ និងទារកដែលបៅដប៖ ទារកដែលបៅទឹកដោះម្តាយមានវដ្តបឺតវែង ដែលមានសារៈសំខាន់ព្រោះថា វដ្តបឺតវែងកាន់តែយូរ ផលប៉ះពាល់កាន់តែធំទៅលើការវិវឌ្ឍន៍នៃសាច់ដុំមុខ។ អាំងតង់ស៊ីតេនៃចលនាបឺតជញ្ជក់ក្នុងទារកដែលបៅដោះក៏ធំជាងដែរ។ នៅក្នុងទារកដែលបំបៅដោយដប មានការថយចុះយ៉ាងច្បាស់នៅក្នុងសកម្មភាពសាច់ដុំ masseter ។
ឥទ្ធិពលលើការអភិវឌ្ឍន៍ផ្លូវដង្ហើមខាងលើ
ការអភិវឌ្ឍនៃរចនាសម្ព័ន្ធមុខគឺអាស្រ័យលើការវិវត្តនៃប្រហោងច្រមុះ។ ភាពមិនធម្មតាណាមួយនៃក្រអូមមាត់នឹងមានផលប៉ះពាល់យ៉ាងធ្ងន់ធ្ងរទៅលើផ្លូវដង្ហើមខាងលើ។ ការសិក្សាបានបង្ហាញថា ការបង្ខូចទ្រង់ទ្រាយដែលបណ្តាលមកពីការប្រើដបទារកជាមួយនឹងថ្នាំផ្សះ គឺជាកត្តាហានិភ័យខ្ពស់សម្រាប់ការគេងមិនដកដង្ហើម។
ការស្ទះដង្ហើមពេលគេងគឺជាបញ្ហាសុខភាពធ្ងន់ធ្ងរដែលប៉ះពាល់ដល់សមត្ថភាពដកដង្ហើមអំឡុងពេលគេង។
ក្នុងអំឡុងពេលបំបៅកូនដោយទឹកដោះម្តាយ សម្ពាធដែលបណ្តាលមកពីការបឺតជញ្ជក់លើសុដន់មានតួនាទីយ៉ាងសំខាន់ក្នុងការអភិវឌ្ឍន៍ដ៏ល្អប្រសើរនៃរចនាសម្ព័ន្ធផ្ទៃមុខ៖ ក្រអូមមាត់ ឆ្អឹងថ្គាម… ការបំបៅដោយដប ការប្រើប្រាស់ថ្នាំផ្សះជាប្រចាំ ការជញ្ជក់មេដៃមិនបង្កើតសម្ពាធគ្រប់គ្រាន់ដូចខាងលើ បង្កើនហានិភ័យនៃការបាត់បង់កោសិកា និងការវិវត្តនៃរចនាសម្ព័ន្ធឆ្អឹងខុសប្រក្រតី រួមចំណែកដល់ការវិវត្តនៃការគេងមិនលក់។
ជំងឺក្រៅប្រព័ន្ធ
- ការលេបខ្យល់ និងការចាល់ជាតិ៖ ពេលបៅដប ទឹកដោះគោហូរចេញពីដប ហើយមានការជ្រៀតចូលខ្យល់ មិនស្ថិតស្ថេរយូរដូចការបៅដោះឡើយ។ សកម្មភាពនេះច្រើនតែកើតឡើងយ៉ាងឆាប់រហ័ស និងធ្ងន់ធ្ងរ ដូច្នេះក្រពះដោយសារតែការផឹកទឹកដោះគោ និងការលេបខ្យល់អំឡុងពេលបំបៅ ប៉ះពាល់ដល់ការរំលាយអាហារ ដែលជារឿយៗបណ្តាលឱ្យចង្អោរ និងក្អួត។
- ផលប៉ះពាល់ផ្លូវចិត្ត៖ នៅពេលបៅដប ទារកផឹកទឹកបានលឿន ដូច្នេះការបំបៅកូនដោយទឹកដោះម្តាយមិនបំពេញតម្រូវការរបស់ពួកគេ ហើយត្រូវបានប៉ះប៉ូវដោយការជញ្ជក់ម្រាមដៃ ឬកណ្តាប់ដៃ បង្កើតលក្ខខណ្ឌសម្រាប់ការខាំខុស។
- ហានិភ័យនៃជំងឺ otitis media ។
ការបំបៅដោះកូនមិនត្រឹមតែផ្តល់អាហារបំប៉នដល់ទារកប៉ុណ្ណោះទេ ថែមទាំងផ្តល់នូវ "ការធ្វើលំហាត់ប្រាណ" បែបធម្មជាតិផងដែរ។
នេះជួយឱ្យក្រអូមមាត់អភិវឌ្ឍជារាងអក្សរ U សម្រួលដល់ការដកដង្ហើមតាមច្រមុះ និងការអភិវឌ្ឍក្លនលូនប្រកបដោយសុខដុមរមនា។ ការបំបៅដបយូរជាមួយក្បាលសុដន់មិនសមរម្យអាចបង្កើតកម្លាំងប្រមូលផ្តុំដូចជា "piston" នៅលើក្រអូមមាត់ ដែលបណ្តាលឱ្យក្រអូមមាត់តូចជ្រៅ បង្កើនហានិភ័យនៃការខាំក្រោយ ឬចំហមាត់ និងដកដង្ហើមតាមមាត់។
ការខូចទ្រង់ទ្រាយដំបូងនៃក្រអូមមាត់ និងធ្មេញមានទំនាក់ទំនងយ៉ាងជិតស្និទ្ធទៅនឹងផ្លូវដង្ហើម ដែលបង្កើនហានិភ័យនៃការស្រមុក និងការគេងមិនដកដង្ហើមចំពោះកុមារ។ ឪពុកម្តាយអាចកាត់បន្ថយហានិភ័យដោយផ្តល់អាទិភាពដល់ការបំបៅកូនដោយទឹកដោះម្តាយ ជ្រើសរើសក្បាលសុដន់ទន់ និងយឺត ប្រសិនបើការបំបៅកូនដោយដបត្រូវបានទាមទារ ផ្តាច់ថ្នាំសម្រកមុន អនុវត្តការទំពារតាមអាយុ និងការពិនិត្យធ្មេញជាទៀងទាត់។
នៅពេលអ្នកសម្គាល់ឃើញថា កូនរបស់អ្នកដកដង្ហើមតាមមាត់ ស្រមុក គេងមិនលក់ ឈឺធ្មេញ ឬខាំខុសប្រក្រតី ចូរនាំកូនរបស់អ្នកទៅជួបពេទ្យធ្មេញ ដើម្បីទទួលការណែនាំ និងអន្តរាគមន៍ទាន់ពេលវេលា។
ប្រភព៖ https://tuoitre.vn/nhung-anh-huong-toi-rang-xuong-ham-gia-dinh-co-tre-bu-binh-can-biet-20250929091956795.htm






Kommentar (0)